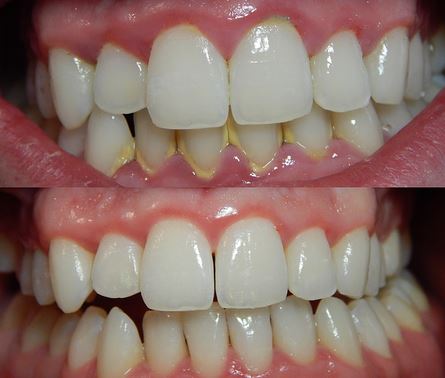
پسروی یا تحلیل لثه یکی از مشکلات شایع دهان و دندان است که می تواند تاثیر قابل توجهی روی دهان و دندان داشته باشد. این وضعیت باعث می شود تا بافت لثه ای که از دندان ها محافظت می کند، به تدریج تحلیل می رود و موجب می شود بخش هایی از ریشه دندان نمایان شود. این مشکل هم روی زیبایی ظاهری تاثیر منفی دارد و هم عملکرد دندان ها و حفظ سلامتی بافت های اطراف دندان را تحت تاثیر قرار می دهد.

بیماری های لثه مانند ژنژیویت و پریودنتیت باعث تخریب بافت های لثه و همچنین استخوان اطراف دندان می شود. ابتلا به این بیماری ها معمولاً ناشی از عفونت های باکتریایی مزمن می باشد.
فشار بیش از اندازه هنگام مسواک زدن با مسواک های هارد (سخت) به مرور زمان موجب آسیب به بافت لثه و پسروی آن می شود.
برخی افراد به دلایل وراثتی بیشتر مستعد تحلیل و پسروی در لثه می باشند. ضخامت لثه، میزان چسبندگی لثه به دندان و حتی پاسخ سیستم ایمنی به باکتری ها و عفونت ها می تواند تحت تاثیر عوامل ژنتیکی باشد.
جرم و تجمع پلاک روی دندان ها می تواند باعث تحریک و التهاب در لثه گردد و لثه را دچار مشکلات مختلف از جمله تحلیل کند.
خانم ها در دوران بارداری و یائسگی دچار تغییرات هورمونی می شوند و این مساله احتمال پسروی لثه را بالا می برد.
فشار زیاد هنگام خواب یا بیداری به مرور زمان به بافت لثه آسیب می رساند و باعث پسروی می شود.
نیکوتین موجود در دخانیات باعث کاهش گردش خون در لثه و اختلال در ترمیم بافت می گردد.
چون ریشه دندان در معرض محیط قرار می گیرد در برابر دما (گرما و سرما)، لمس و شیرینیجات حساس می شود.
از بارزترین نشانه های این مشکل آشکار شدن ریشه دندان و بلند تر شدن ظاهر دندان ها می باشد.
این عارضه به دلیل تجمع باکتری ها می تواند موجب بوی بد دهان شود.
در موارد پیشرفته بین دندان ها فاصله ایجاد شده و سبب تجمع پلاک و غذا بین دندان ها می شود.
در مراحل اولیه موجب التهاب و خونریزی لثه هنگام مسواک زدن و نخ دندان کشیدن می شود.
از آنجایی که ریشه دندان فاقد مینای محافظ است در صورت تحلیل، احتمال پوسیدگی دندان افزایش می یابد.
بعد از تحلیل، پشتیبانی لازم برای لثه کاهش می یابد و خطر لق شدن و افتادن دندان افزایش پیدا می کند.
این عارضه می تواند زمینه ساز عفونت های شدید در لثه و یا حتی استخوان فک شود.

با مسواک زدن روزانه و استفاده از نخ دندان از تجمع پلاک و التهاب لثه جلوگیری می شود.
معاینات منظم و پاکسازی حرفه ای به سلامت لثه، دندان ها و پیشگیری از مشکلات دهان و دندان کمک می کند.
استفاده از مسواک مناسب با برس نرم و روش صحیح مسواک زدن از آسیب به لثه پیشگیری می کند.
ترک محصولات حاوی نیکوتین موجب سلامت دهان و دندان، همچنین کاهش خطر پسروی لثه می شود.
دندانپزشک با جرم گیری و حذف پلاک به بهبود بافت لثه کمک می کند و از پیشروی تحلیل جلوگیری می کند.
این درمان برای کاهش التهاب و تحریک بازسازی بافت لثه انجام می شود.
گاهی در موارد پیشرفته، جراحی پیوند لثه ضروری است. در این روش بافت از نواحی دیگر برداشته شده و به نواحی تحلیل رفته پیوند می شود.
اگر پسوری لثه به دلیل بیماری پریودنتال اتفاق بیافتد، درمان بیماری از بروز مشکل پیشگیری می کند.
تحلیل لثه از مشکلاتی است که بر سلامت دهان و دندان وهمچنین روی کیفیت زندگی تاثیر گذار است. درک علائم و علل این بیماری، همراه با پیشگیری و درمان مناسب، در حفظ سلامت دندان و لثه موثر است.
کلینیک پرسپولیس با بهره گیری از تکنولوژی روز و حضور مجرب ترین متخصصین، کلیه خدمات زیبایی و درمانی را با بهترین کیفیت ارائه می دهد. لطفاً برای تعیین وقت با شماره های درج شده در سایت تماس حاصل فرمائید.